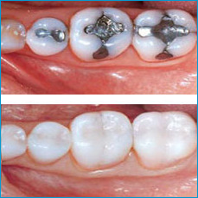
composite-Redin-Fillings–white-filling. Published March 22, 2018 at 400 × 400 in composite-Redin-Fillings–white-filling. ← Previous Next →